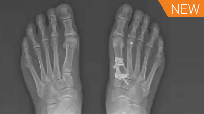
Dr. Jeremy McCormick presents his evolution of the Lapidus procedure for bunion correction, highlighting challenges with the traditional approach, recurrence, intercuneiform instability, and the role of LapiFuse™ in his practice.
SKU: AP-013821A
Product Information
